Surgically Assisted Osteogenic Orthodontics

North Dallas Dental Health

High-Tech.
High-Touch.

Overview

Surgically Assisted Osteogenic Orthodontics (SAOO) is an advanced treatment that combines surgical bone modification with orthodontic tooth movement to accelerate results and improve outcomes for complex cases. By strategically altering bone structure, SAOO can reduce treatment time, enhance stability, and help achieve optimal alignment when traditional orthodontics alone may be insufficient.

For over ten years, the periodontists at North Dallas Dental Health have helped many patients achieve a beautiful, healthy smile with Surgically Assisted Osteogenic Orthodontics (SAOO). SAOO is an innovative procedure done in conjunction with orthodontics, that allows the teeth to be moved faster and with a greater amount of soft and hard tissue for long term stability.  SAOO is a great option for many adult orthodontic patients and patients with various severe crowding and bite problems, helping to achieve what cannot be done with orthodontics alone.

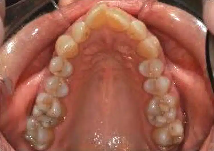
Before surgically assisted osteogenic orthodontic treatment

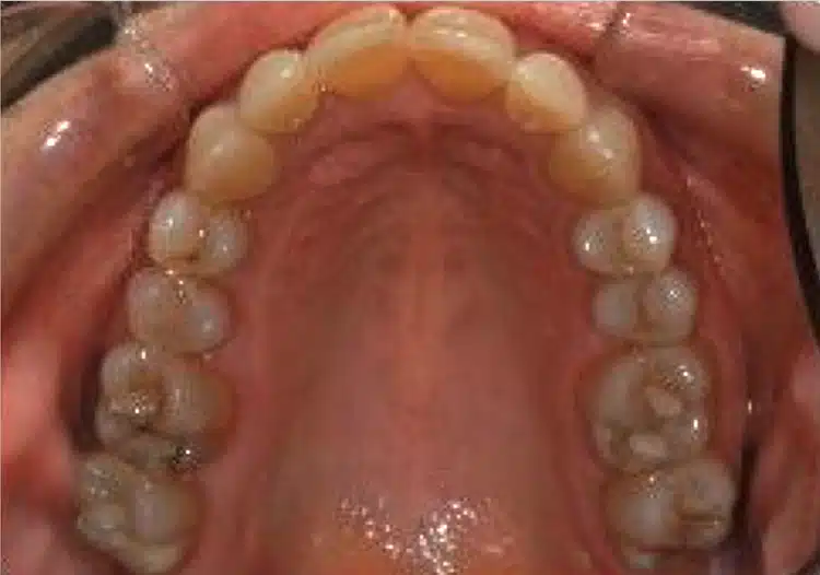
After surgically assisted osteogenic orthodontic treatment

“I have gone to Dr John Wilson for extractions and implants and he is wonderful. Takes his time explaining everything and you leave there with no pain. I highly recommend him and his staff.”

– Lauran G.

“Dr.’s Wilson are THE pros in Dallas at what they do. This is my second experience with them to have a dental implant. This last time they saw me on an emergency basis as they were preparing to close the office for the Christmas holiday and the new year. I trust Dr.’s Wilson and their friendly and professional support team 100% and consider myself fortunate to be in their care.”

– Mike H.

“I was really nervous about my dental surgery. But Dr. John Wilson was very patient and understanding. He explained exactly what would happen and helped me prepare. He eased my anxiety, and everything went great. I really appreciate that he understood my concerns and eased my mind. He spent so much time with me before, during, and even weeks after the procedure, I always felt comfortable and knew what to expect.”

– Tatiana T.

“I’m really impressed with Dr Lakshmi Gorugantula and her assistant, Judy. Dr. Gorugantula is brilliant and fixed a problem that three other doctors were unable to solve. She took time to fully explain what was going on and made sure I fully understood. Great experience and highly recommended!!”

– PW P.

“I had an amazing experience at Dr. Wilson’s office for my teeth whitening! The entire team was phenomenal, making it one of the best dental visits of my life. Professional, friendly, and top-notch care—highly recommend!”

– Christopher H.

“These doctors are AWESOME! They went above and beyond for my special needs son to feel comfortable and understand what was going on. I’m so thankful for the wonderful doctors and staff.”

– April H.

“I have been a patient of North Dallas Dental for many years and have been extremely happy with their work. They even ask you to come in every year, free of charge to check their work. They are very conscientious, professional and nice! I highly recommend them!”

– Michele R.